Can we intercept maxillary canine impaction? A new trial.
We would all like to intercept potential maxillary canine impaction. Some great studies have examined the effectiveness of extracting primary canines. However, there are other methods that may work, for example, expansion. This was looked at in this new randomised trial.
Phil Benson, Emeritus Professor of Orthodontics, Sheffield UK, who is the lead author of a recent Cochrane review on this subject, has helped me with this post.
I have posted about this before, and it appears that removing primary canines when palatally displaced canines are detected is effective. This evidence is from 1 randomised trials and has also been incorporated into a Cochrane Systematic Review. Other studies have been done on the expansion of the maxillary dentition. However, they were subject to high bias levels and not included in the Cochrane review. This new trial was done to look at the effects of slow expansion.
A team from Leuven, Belgium did this study. The European Journal of Orthodontics published the paper.
Early prevention of maxillary canine impaction: a randomized clinical trial
Guy Willems et al
EJO: Advanced access. DOI: https://doi.org/10.1093/ejo/cjad014
What did they ask?
They wanted to:
“Investigate the effect of slow maxillary expansion (SME), extraction of both primary canines and no intervention on maxillary canine position in patients with lack of space”.
What did they do?
They did a three arm randomised controlled trial with a non randomised additional group. The PICO was
Participants:
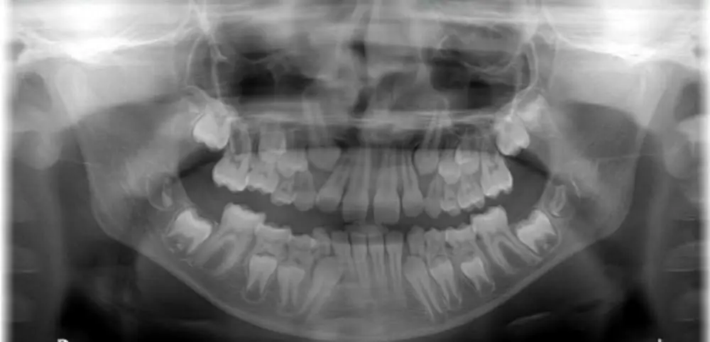
Patients with at least one maxillary permanent canine impaction. This was defined as when the canine to midline angle was less than 1.5 degrees on a panoramic radiograph.
Interventions:
They divided the patients into two groups according to whether they had less than 2mm or more than 2mm crowding.
The participants in the group with less than 2mm of crowding did not receive any intervention. This was termed the “control group”.
Those with greater than 2mm crowding were randomised to receive:
- Slow maxillary expansion with a removable appliance
- Extraction of both upper primary canines.
- No intervention.
The team followed the patients every 6 months. After 18 months a new panoramic radiograph was taken, and they evaluated the need for orthodontic treatment at this point.
Outcome:
The primary outcome measure was the canine position in terms of canine to midline angle, canine to first premolar angle, and other relevant measures. The secondary outcome was the time of any canine eruption and the need for further intervention after 18 months.
They carried out the relevant multiple variate modeling techniques.
What did they find?
Eighty-four patients started the trial, and at the end of the study period, they analysed data on 76 patients with 142 canines The mean follow-up was 1.9 years.
The authors reported that many participants did not agree to have the intervention to which they were allocated. For example, only 23 of 45 participants assigned to expansion decided to have treatment, and only 20 out of 42 participants had extractions. Notably, 26 out of 40 allocated to no treatment attended their follow-up appointments. This results in 19 of the expansion, 17 of the extraction, and 14 of the no intervention completing the study.
These low participation figures are important because I could not find a sample size calculation. As a result, we have no information on whether the study had sufficient power.
They provided a large amount of data that reflected the complexity of their outcome measures. In summary, the expansion for patients lacking space improved the canine sector compared to no intervention.
I have looked at their results by selecting what I think are simple outcome measures to interpret. I decided these were the sector of the canine on the radiograph. This was sector 0, which is a normal position for good eruption, whether the canine erupted before and after 18 months, and the complexity of any further orthodontic treatment.
If we look at the canine sector. They found that the sector only improved significantly in the expansion group. The percentage of canines in sector 0 at the start of the study was 65.7, and this increased to 85.7% at 18 months. However, I also spotted that the percentage of canines in sector 0 at the start for the no intervention short of space group was 96%. This looks very different from the start position of the expansion group.
Did the canines erupt?
The most important outcome is whether the canines erupted spontaneously. I found this data difficult to interpret. Some readers may find this easier than I do. After 18 months of observation, 14% of the canines in the expansion group, 9% in the extraction, and 12% in the observation group had erupted spontaneously. At the end of the observation, which was up to 60 months 34% of the expansion, 27% of the extraction, and 53% of the no-intervention group had erupted. I could not find a statistical analysis of this data. However, the authors pointed out that there were no significant differences between the groups.
Their overall conclusion was
“Early slow maxillary expansion improves the canine sector and reduces the need for major orthodontic intervention in the long term”.
What did I think?
On initial reading, this looked like a good trial. However, when I got deeper into the methods, there were certain problems that increased my level of uncertainty in the results. Firstly, there was a high rate of refusal to undergo the allocated treatment, and there was no sample size calculation done before the study started. As a result, I could not be certain whether the study had sufficient power.
I was also rather confused by the results, but this may be the effect of my aging mind. It appeared to me that in terms of the eruption of canines, the group with the best outcome was the no-intervention greater than 2mm crowding group. As a result, I am not sure that I agree with their conclusions. We could easily conclude that doing nothing for a potential canine impaction is an effective treatment. Perhaps the authors could clarify this in the comments section of this post.
Final comments
I feel that it is up to the readers of this paper to decide if it changes or reinforces current practices. I cannot help thinking that this does not change the conclusions of the most recent Cochrane review that states the level of evidence for the removal of primary canines is low.

Emeritus Professor of Orthodontics, University of Manchester, UK.
I think it doesn’t change much the way I try to do as little as possible for the patients.
So I extract the deciduous but if there is no maxillary deficit I don’t expand only for the canine … in the end I will place a Nance for the leeway space in the late mixed dentition, which seems to be a method comparable to an expander plus ex C
thank you very much professor
for the decent and prove driven critic
Dr ibrahim
The findings seem to suggest, if in doubt leave alone? And young kids don’t want to undergo extractions!
I am struck by the fact that so many of the parents declined the treatment that was recommended. The extraction of primary teeth, or slow expansion with a maxillary removable appliance are fairly simple recommendations. The fact that so many declined to do either makes me question how effective the consultation, and the case presentation, were.
I dont understand the logic behind why extracting a primary canine alone will be of help to prevent canine displacement. I am keen to hear an explanation. We have found the level of evidence for the removal of primary canines alone to be low. I disagree with Kevin’s statement ‘removing primary canines when palatally displaced canines are detected is effective’, I really dont think we know the answer to this yet
Dear Dr Parkin, I don’t understand. Didn’t your study show 25% higher chance of eruption, after extraction?
🙂
https://kevinobrienorthoblog.com/extracting-primary-canines-help-palatally-displaced-canines-erupt-a-surprising-cochrane-review/
I think Dr Parkin’s study found big confidence intervals and low certainty. It’s the kind of thing that I would have thought we could do a reasonably well controlled study on though – Prof O’Brien and a load of his contemporaries did a massive multi-centre experiment on functional appliances, but intercepting impacted canines strikes me as an important thing to investigate if it had conclusions that avoided a fraction of the surgical removal or exposures of impacted canines or resorbed incisor roots or the like. If there’s a 2% incidence and 600,000 kids born every year, then a country like the UK should be able to CSAG this to hell and back, with thousands of kids in any imaginable cohort permutation.
Stephen Murray
Swords Ortho
You are correct Stephen. Our review concluded that deciding the effectiveness of an intervention, based on the results from one included study, in one centre, involving 12 individuals with ‘events’ of interest, leaves a considerable degree of uncertainty. You can read our response to the original blog here:
https://kevinobrienorthoblog.com/extraction-of-primary-canines-authors-response/
The protocol we submitted to a UK funding agency can be downloaded here:
https://osf.io/rkjgw
Anyone would be welcome to use this protocol, or a closely related one, to undertake the project that we failed to get funded.
There seems to no mention of chronological age and, more importantly, dental age/stage of dental development of any of the cohort. I am also assuming no congenitally missing laterals. Does this have a bearing on the decisions/outcome? Surely it must!
There seems to no mention of chronological age and, more importantly, dental age/stage of dental development of any of the cohort. I am also assuming no congenitally missing laterals. Does this have a bearing on the decisions/outcome? Surely it must!
First of all we would like to thank prof O’Brien for including our study and stressing the important role of simple appliances and early screening protocols in prevention of maxillary canine impaction. As authors of this RCT we would like to clarify certain issues.
General remark
Our RCT was performed in a group of children presenting with early mixed dentition (dental age 7.5-8.5y). At that young age maxillary canines are high up in line with the maxillary arch. They are not displaced to the palatal nor to the buccal, only in line with the arch. At that age, overlap with incisor roots is also very small and limited to sector 0 (normal position) or sector 1 (overlap with distal half of lateral incisor root). So both sector and bucco-palatal displacement in general are no issues in early mixed dentition. At this early age the alpha angle is the most predominant characteristic for diagnosing potentially impacted maxillary canines.
As far as eruption is concerned, we simplified Table 4 as follows:
Total % of canines per group: SpontaneousEruption MinorTreatment MajorTreatment
Expansion: 34.3 45.7 20.0
Extraction: 33.3 6.1 60.6
No Intervention: 53,9 0.0 46.1
Control: 76.7 16.7 7.6
Yes indeed, both internal and external control groups had high percentage of spontaneous canine eruption cases, either after 18 or 60 months. Which is normal for the external control group since these case showed adequate amounts of space in the dental arch. We believe that the No Intervention group might have been attributed a slightly higher amount of easy cases by chance.
More important is that 80% of all cases in the expansion group erupt either spontaneously or after some minor orthodontic treatment creating some extra space locally for the canine to erupt.
And 60% and 46% of the canines is the deciduous canine extraction group and No intervention group, respectively, needed major comprehensive orthodontic treatment facilitating canine eruption, such as bilateral bicuspid extraction, transversal or sagittal expansion of surgical exposure.
Conclusion is that SME in early mixed dentition significantly decreases the need for major orthodontic comprehensive treatment in the long term. Extraction of deciduous canines in early mixed dentition has an 11 times higher probability for major treatment compared to slow maxillary expansion.
Based on the results of this study it is highly recommended to screen for potentially impacted maxillary canines in the early mixed dentition.