Can we intercept AOB development from thumb sucking?
We are all familiar with the young patient who has an anterior open bite caused by thumb sucking. This new systematic review provides us with some evidence on the treatment for this common problem.
I have just got back from a four day trip to New Zealand to lecture to the New Zealand Association of Orthodontists, which was great but a turn round in four days does not do your brain much good. So I am sorry if this post is a little shorter than others.
It is important to intercept the development of an AOB that is caused by digit sucking. We commonly use several methods and I am sure that we all have our favourite method of addressing the long term “digit sucker”. However, there is little strong evidence on the most effective method of addressing this problem. This post is about a recently published systematic review that appeared in the EJO.
Murilo Fernando Neuppmann Feres et al
European Journal of Orthodontics, 2017, 31–42
doi:10.1093/ejo/cjw005
They did this systematic review to provide information on the best method of correcting habit induced AOB using habit-interception appliances.
What did they do?
They did a review using standard systematic review methodology. The PICO was
Participants: Children under 18 years with AOB
Intervention: Any interceptive treatment tested in a randomised or non randomised trials
Comparison: Untreated control
Outcome: Overbite.
I could not find the PICO in the text of the paper and I had to generate this version. I found this was difficult to find because they did not clearly describe the usual criteria. But, I hope that my interpretation is clear.
They evaluated risk of bias in RCTs using the Cochrane Risk of bias tool and the MINORS tool for non-randomised trials.
What did they find?
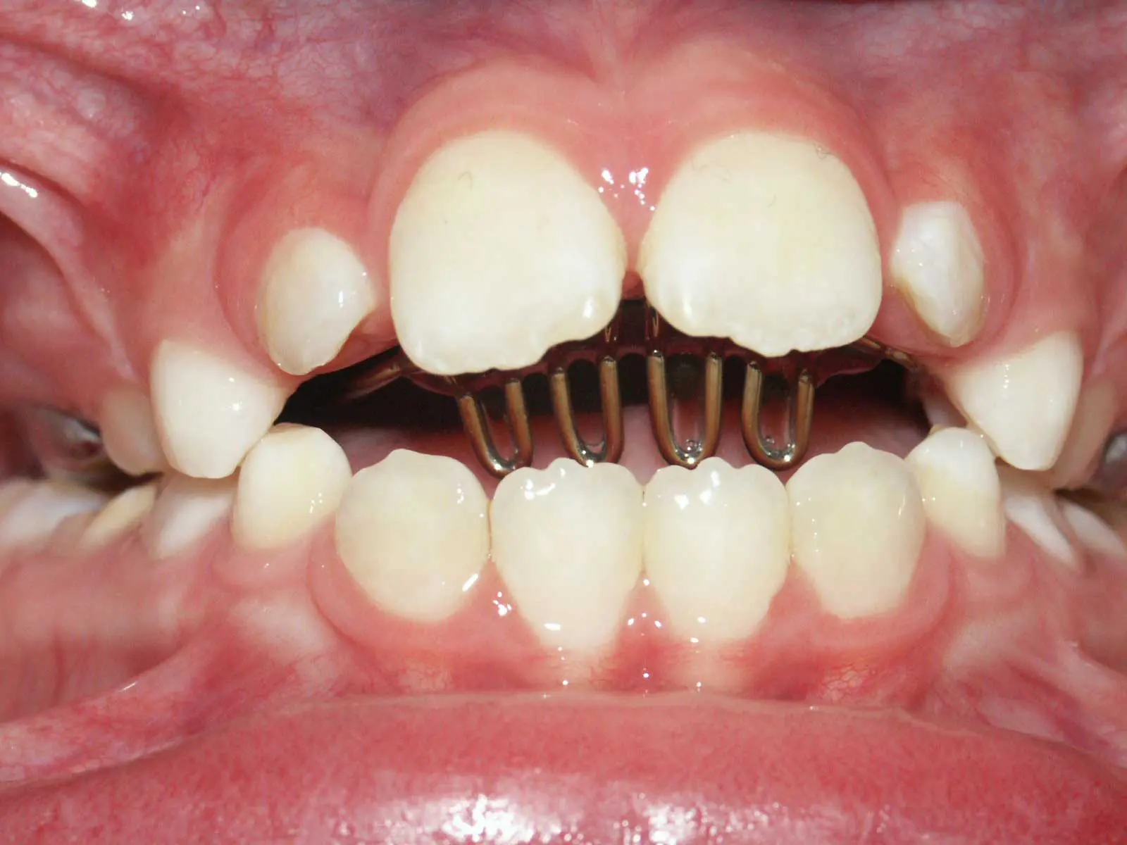
They initially identified 3491 studies and after filtering for methodology etc, they reduced this to 11 studies. Unfortunately, they could only combine data from 4 studies into a meta-analysis. These were all concerned with the use of crib therapy.
All the studies looked at treatment in the mixed dentition with a time span from 3 months to more than 6 years. The papers reported on two types of habit interception appliances, these were fixed or removable cribs and spurs.
They found that 2 of the studies were RCTs with a high risk of bias. The remaining non-randomised trials were also of high risk of bias.
They presented the data in four pages of detailed information reporting on multiple detailed cephalometric variables. I did not really look at all this information and I am not sure who ploughs through these ceph festivals?
However, in the text they reported that the crib therapy significantly increased the overbite when compared to untreated controls, regardless of appliance design. This increase was approximately 3mm. I think that this is clinically important. They did not find any evidence suggesting that other interventions were effective.
What did I think?
Firstly, I found that this paper was very difficult to read. This was partly because of the complex nature of a review that tried to evaluate the effects of several interventions. Nevertheless, the data presentation was rather complex with one massive table of data that was pretty much impenetrable. Nevertheless, I hope that I have extrapolated the main parts of the review.
I found it interesting that crib therapy was the only method that they found was effective. However, I also cannot help thinking that this was because it was the only method that had been adequately researched. We must remember that the overall conclusion was that there was not strong evidence that the other interventions were effective. In this respect, these methods could be effective, but we do not have the evidence.
My favoured method of habit interception for patients with AOB is to fit a quad helix, as this can also correct any posterior crossbites. I wonder if this is gong to have the same action as any crib because it may act in the same way? But they did not find any strong evidence to support my preferred option.
I have said before when we read a paper, it is a good idea to ask “so what”. In other words “does this change my clinical practice”. When I thought about this paper, I am not sure because I cannot see any difference in the action of a crib or a quad. I think that I will stick with the quad….for the time being.

Emeritus Professor of Orthodontics, University of Manchester, UK.
I have had a lot of good luck with an appliance called a Kentucky blue Grass which like an upper lingual arch with a little white cylinder in the front
I don’t regularly fit anything, just tell them to stop or they can’t have a brace. Almost all manage to do this by sheer will power with added help from thumbsies or similar. I think I fitted one removable deterrent appliance in the last 5 yrs, maybe 2. Of course this is different from intercepting AOB development and so reducing the need for braces. I suppose the only way to do this is to stop everyone from starting sucking their thumbs in the first place or at least stop everyone as the perm incisors erupt, this would mean seeing everyone at 6 for special thumb deterrent classes. Could be a new income stream there.
Mention of the Bluegrass Appliance reminds me of a somewhat heated correspondence I had some years ago a with a lady who accused orthodontists using the Bluegrass Appliance as being guilty of child abuse. I assured her I had never used such an appliance in my life nor had anyone of my acquaintance, but I don’t think she was entirely mollified.
As you say, we all have our favourite approaches. Orthodontists by virtue of their training can be rather fixated on finding the best appliance for the task.. My own approach to thumbsucking has been somewhat different. I start off by banning the parents from even mentioning the subject at home as it is often a contentious issue in the family with all the counterproductive results that can follow. Then I talk to the child, explain what thumbsucking is doing to the teeth, tell them that only they can solve the problem if they choose to do so, and give them the responsibility for doing it, all on their own. I end up by saying I’ll see them in 6 weeks and they can show me what they have achieved. In the majority of cases it works well and they come back with a measurable improvement in the overbite, for which they get generous praise of course. The commonest snag is the thumb which creeps into the mouth during sleep, and parents will report that they find it in the mouth at night although the daytime habit has stopped. For this I make a simple URA with an anterior bite plane just to wear at night in order to fill up the “thumb space”. I explain to the child that it is optional, they can wear it to help them if they want, and this usually enough to solve the problem. The whole approach does depend on a good rapport with the parents and patient of course. Sadly no RCT’s to back it all up, but no doubt a good topic for a trial somewhere.
Kevin can yo be more detailed if you do modify the Quad-Helix arms or the metalic frame in a certain way to help with the control of the habits or it is simply the fact that when the tumb touches a part of the appliance framework it is reminded that it “should not” be there?
Hi Carlos, thanks for the question. I not really modify the quad, I think that it works because it acts as a reminder and generally spoils the feeling of thumb sucking